Gastric carcinoma diagnosed incidentally on cervical biopsy in a young female
Keywords:
Carcinoma of cervix, Krukenberg tumor, Signet ring cells, Gastric malignancyAbstract
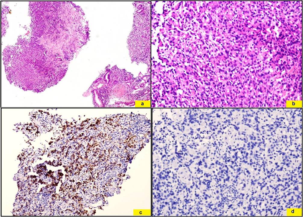
Gastric carcinoma usually metastasizes to liver, peritoneum, lymphnodes, ovary, lung and brain. But gastric malignancy metastasizing to cervix is extremely rare and even rarest in young patients. Reaching to the primary site of hidden gastric malignancy on a cervical biopsy was very interesting in present case. Distinction of primary cervical malignancy to metastasis is very important for clinical and pathological point of view which helps in the diagnosis, staging, treatment and prognosis of the patient. Here we are documenting a case of gastric malignancy which presented as cervical mass and bilateral ovarian enlargement in a 22 years old female.
References
2. Lee P, Paek J, Nam EJ, Kim Y T, Kim SW. A case of stomach cancer metastatic to the uterine cervix. Journal of Womens Medicine, 2011; 4(1): 23-26.
3. Perez"Montiel D, Serrano"Olvera A, Salazar LC, Cetina"Pérez L, Candelaria M, Coronel J, Cantu de Leon D. Adenocarcinoma metastatic to the uterine cervix: A case series. Journal of Obstetrics and Gynaecology Research, 2012; 38(3): 541-549.
4. McCluggage WG, Hurrell DP, Kennedy K. Metastatic carcinomas in the cervix mimicking primary cervical adenocarcinoma and adenocarcinoma in situ: report of a series of cases. The American journal of surgical pathology, 2010;34(5):735-741.
5. Kumar NB, Hart WR. Metastases to the uterine corpus from extragenital cancers. A clinicopathologic study of 63 cases. Cancer 1982;50:2163-9.
6. Young R: From krukenberg to today: the ever present problems posed by metastatic tumors in the ovary: part I. Historical perspective, general principles, mucinous tumors including the krukenberg tumor. Adv Anat Pathol 2006, 13:205—227.
7. Jiang R, Tang J, Cheng X, Zang RY. Surgical treatment for patients with different origins of Krukenberg tumors: outcomes and prognostic factors. Eur J Surg Oncol 2009; 35: 92-97.
8. Ng AB, Teeple D, Linder EA, Reagan JW. The cellular manifestations of extrauterine cancer. Acta Cytol 1974; 18: 108—117.
9. Esposito JM, Zarou DM, Zarou GS. Extragenital adenocarcinoma metastatic to the cervix uteri: a diagnostic problem. Am J Obstet Gynecol 1965; 92: 792—795.
10. Yada-Hashimoto N, Yamamoto T, Kamiura S, Seino H, Ohira H, Sawai K, Saji F. Metastatic ovarian tumors: a review of 64 cases.Gynecologic oncology.2003;89(2):314-317.
11. Woodruff JD, Novak ER. The Krukenberg tumor: study of 48 cases from the ovarian tumor registry. Obstet Gynecol 1960;15:351—60.
12. Soloway I, Latour JPA, Young MHV. Krukenberg tumors of the ovary. Obstet Gynecol 1956;8:636—8.
13. Yakushiji M, Tazaki T, Nishimura H, Kato T. Krukenberg tumors of the ovary: a clinicopathologic analysis of 112 cases. Acta Obstet Gynaecol Jpn 1987;39:479—85.
14. Hale RW. Krukenberg tumor of the ovaries: a review of 81 records. Obstet Gynecol 1968;32:221—5.
15. Kiyokawa T, Young RH, Scully RE. Krukenberg tumors of the ovary: a clinicopathologic analysis of 120 cases with emphasis on their variable pathologic manifestations.The American journal of surgical pathology.2006;30(3):277-299.
Downloads
Additional Files
Published
Issue
Section
License
Copyright (c) 2015 Mahendra Kumar, Naushad Shah, Jaya Mishra, Ritesh Kumar, Subrat Panda

This work is licensed under a Creative Commons Attribution 4.0 International License.
Authors who publish with this journal agree to the following terms:
- Authors retain copyright and grant the journal right of first publication with the work simultaneously licensed under a Creative Commons Attribution License that allows others to share the work with an acknowledgement of the work's authorship and initial publication in this journal.
- Authors are able to enter into separate, additional contractual arrangements for the non-exclusive distribution of the journal's published version of the work (e.g., post it to an institutional repository or publish it in a book), with an acknowledgement of its initial publication in this journal.
- Authors are permitted and encouraged to post their work online (e.g., in institutional repositories or on their website) prior to and during the submission process, as it can lead to productive exchanges, as well as earlier and greater citation of published work (See The Effect of Open Access at http://opcit.eprints.org/oacitation-biblio.html).

