Cellular Angiofibroma: a rare vulvar neoplasm distinct from Aggressive Angiomyxoma

Authors

  • Jasvinder Kaur Bhatia Armed Forces medical college Pune
  • R Nangia

Keywords:

Cellular Angiofibroma, Vulva, Immunohistochemistry, Aggressive angiomyxoma.

Abstract

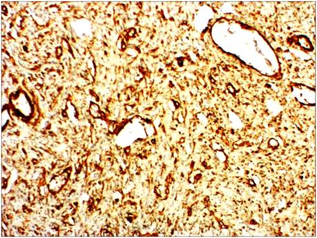
Cellular angiofibroma (CA) is a rare benign mesenchymal neoplasm of the genital region of both the genders. In women, it arises in late reproductive age and can be cured by complete local excision. It is characterized by a bland spindle cell population and numerous small- to medium-sized vessels with hyalinization. We report a rare case in a postmenopausal woman with a view to highlight the importance of differentiating it from similar more aggressive tumours like aggressive angiomyxoma. A 56 year old woman presented with superficial painless swelling of the vulva and the mass was surgically excised. Histological examination revealed spindle cell proliferation and hyalinised blood vessels in a loosely cellular stroma. Immunohistochemistry revealed positivity for vimentin and CD34 and positivity for ER & PR.

Cellular angiofibroma (CA) is a rare benign mesenchymal neoplasm of the genital region of both the genders. In women, it arises in late reproductive age and can be cured by complete local excision. It is characterized by a bland spindle cell population and numerous small- to medium-sized vessels with hyalinization. We report a rare case in a postmenopausal woman with a view to highlight the importance of differentiating it from similar more aggressive tumours like aggressive angiomyxoma. A 56 year old woman presented with superficial painless swelling of the vulva and the mass was surgically excised. Histological examination revealed spindle cell proliferation and hyalinised blood vessels in a loosely cellular stroma. Immunohistochemistry revealed positivity for vimentin and CD34 and positivity for ER & PR.

Author Biography

  • Jasvinder Kaur Bhatia, Armed Forces medical college Pune

    Reader

    Department of Pathology

References

1. Saichandran S, Koothan V, Ghose S. Cellular angiofibroma of the vulva. Internet J Oncol. 2010; 7.

2. Kerkuta R, Kennedy CM, Benda JA, Galask RP. Vulvar cellular angiofibroma: A case report. Am J Obstet Gynecol. 2005;193:1750—2.

3. Nucci MR, Granter SR, Fletcher CDM. Cellular angiofibroma: a benign neoplasm distinct from angiomyofibroblastoma and spindle cell lipoma. Am J Surg Pathol1997;21:636—644.

4. Nucci MR, Fletcher CD. Vulvovaginal soft tissue tumours: update and review. Histopathology. 2000 Feb; 36(2):97-108.

5. Uta Flucke, J Han JM van Krieken, Mentzel T. Cellular angiofibroma: analysis of 25 cases emphasizing its relationship to spindle cell lipoma and mammary-type myofibroblastoma. Modern Pathology (2011) 24, 82—89.

6. Goyal P, Agrawal D, Sehgal S, Ghosh S, Kumar A, Singh S. Aggressive Angiomyxoma in Pregnancy. Rare Tumors. 2014;6(2):5362. doi:10.4081/rt.2014.5362.

7. Sharma P, Sood N. Spindle cell lipoma: an unusual lipoma variant. Annals Of Pathology And Laboratory Medicine, 2015;2(3), L9-10.

8. Goyal P, Sehgal S, Singh S, Rastogi S. Dermatofibrosarcoma Protuberans in a Child: A Case Report. Case Reports in Dermatological Medicine, vol. 2012, Article ID 796818, 4 pages, 2012. doi:10.1155/2012/796818

9. Nucci MR. Tumors of the Female Genital Tract. In, Christopher D.M. Fletcher (ed). Diagnostic histopathology of tumors, 4th edition. China, Saunders, 2013; 658-870.

10. McCluggage WG, Ganesan R, Hirschowitz L, Rollason TP. Cellular angiofibroma and related fibromatous lesions of the vulva: report of a series of cases with a morphological spectrum wider than previously described. Histopathology. 2004 Oct; 45(4):360-8.

Downloads

Additional Files

Published

01-11-2015

Issue

Section

Case Report / Case Series

How to Cite

1.
Cellular Angiofibroma: a rare vulvar neoplasm distinct from Aggressive Angiomyxoma. Ann of Pathol and Lab Med [Internet]. 2015 Nov. 1 [cited 2026 Feb. 9];2(4):C213-217. Available from: https://pacificejournals.com/journal/index.php/apalm/article/view/apalm403